Idoso é internado com corda de 2,3 metros na bexiga após introduzir objeto no pênis
O homem de 79 anos inseriu uma corda pular pelo do pênis e foi parar no hospital com fortes dores ao urinar. Entenda o caso:
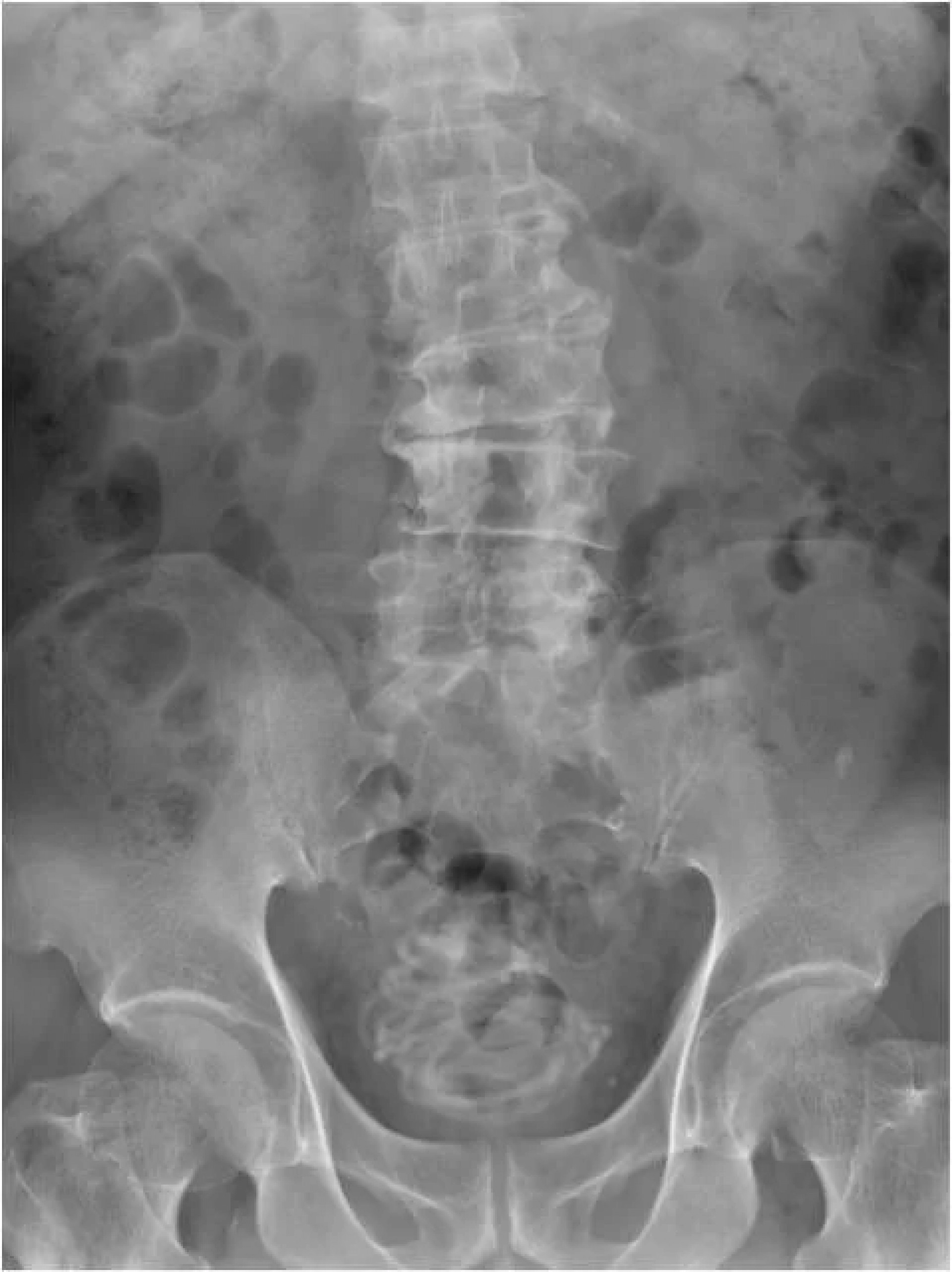
Médicos japoneses encontraram uma corda para fazer exercícios dentro de um paciente de 79 anos. O objeto foi encontrado após o homem chegar ao hospital com queixas de fortes dores ao urinar. Os exames revelaram a presença de uma corda de 2,3 metros enrolada em sua bexiga.
O objeto teve que ser removido cirurgicamente. Ao ser questionado como a corda foi parar em sua bexiga, o idoso afirmou ter inserido a corda pela uretra.
É + que streaming. É arte, cultura e história.
Apesar do motivo não ter sido revelado, os médicos acreditam que o motivo pode ter sido a satisfação sexual. Veja imagens do objetivo após ser removido:
Homem coloca corda para fazer exercícios na uretra e objeto se enrola na bexiga
Médicos encontram corda enrolada na bexiga de idoso no japão
Os profissionais da saúde alertaram ainda para o perigo de inserir objetos de qualquer procedência pela uretra para satisfação sexual.
O caso curioso aconteceu no Japão e foi publicado na revista médica “Urology Case Reports”. No artigo, o professor de urologia da Dokkyo Medical University, Toshiki Kijima aponta que o objeto estava enrolado na bexiga do paciente e a única forma de removê-lo seria por meio de uma intervenção cirúrgica.
A remoção foi feita com uma pequena incisão na região do abdômen do homem.
“Primeiro realizamos um ultrassom e identificamos um objeto grande na bexiga do paciente. Depois fizemos um raio-x, que revelou um corpo estranho enrolado em forma de fio", detalhou Toshiki Kijima, autor do relatório publicado na revista médica.
Depois do exame, a equipe fez uma tomografia do paciente para escolher o melhor jeito de tirar a corda. "Usamos um programa de computador em 3D para nos direcionar pois percebemos que seria impossível puxar a corda pelo pênis”, afirma Toshiki.
Veja notícias relacionadas
Dúvidas, Críticas e Sugestões? Fale com a gente


