Gigantismo: Menina de 12 anos com dificuldade para andar devido ao tamanho dos dedos faz cirurgia

A menina tem um defeito congênito que causou a expansão dos ossos, tecidos do dedão e do segundo dedo pé direito; veja imagens

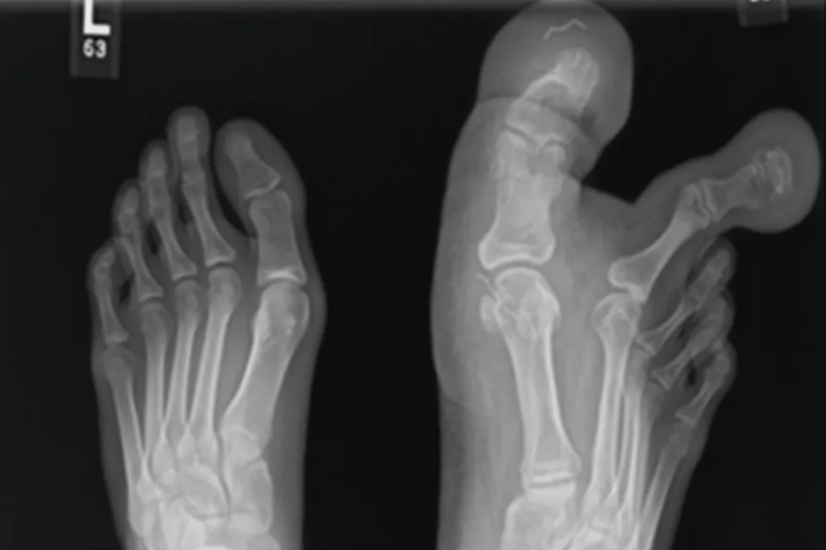
Uma menina de 12 anos, nascida em Kuala Lumpur, capital da Malásia, que tem dois dedos maiores do que o normal, precisou se submeter a uma cirurgia após enfrentar dificuldades para andar ou usar sapatos. Isso porque ela foi diagnosticada com Macrodistrofia Lipomatosa (MDL).

A adolescente, que não teve seu nome divulgado, tem um defeito congênito que causou a expansão dos ossos, tecidos do dedão e do segundo dedo pé direito. As imagens foram divulgadas por médicos.

É + que streaming. É arte, cultura e história.

+ filmes, séries e documentários

+ reportagens interativas

+ colunistas exclusivos

De acordo com o jornal tabloide britânico “The Sun”, essa deformidade foi diagnosticada no nascimento da criança, entretanto, os pais só decidiram retornar ao hospital depois que o quadro da paciente piorou.

Apesar do quadro, a menina não reclamava de dor, mesmo que andasse por um longo tempo ou ao subir e descer escadas.

Menina de 12 anos com gigantismo faz cirurgia para conseguir andar e usar sapatos 

O cirurgião ortopédico do Centro Médico Universiti Kebangsaan, Dr. Sri Arun Sellvam, o principal autor do artigo científico da revista científica Cureus, que divulgou o caso, contou que para que a funcionalidade do pé fosse melhorada, a equipe de médicos precisou realizar uma cirurgia de reconstrução.

“Radiografias simples e achados de ressonância magnética revelaram acúmulo de tecido adiposo ao redor do primeiro e segundo dedos, aspectos medial e lateral do primeiro metatarso, estendendo-se até o arco plantar medial do pé”, disse ele.

O que é gigantismo, condição de menina de 12 anos que tinha dificuldade para andar

O Macrodistrofia Lipomatosa, também conhecido como gigantismo, é uma condição não-hereditária, que provoca o aumento do tecido fibrogorduroso, fazendo com que certas partes do corpo atinjam tamanhos desproporcionais.

Confira outras notícias relacionadas

Dúvidas, Críticas e Sugestões? Fale com a gente

Tags

menina medico malasia gigantismo

Os cookies nos ajudam a administrar este site. Ao usar nosso site, você concorda com nosso uso de cookies. Política de privacidade

Aceitar