Fortaleza realiza primeiro implante de CDI Epicárdico em uma criança

Fortaleza realiza primeiro implante de CDI Epicárdico em uma criança

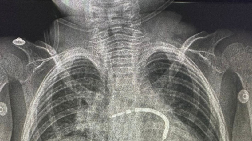
Realizado no Hospital Luís França, o dispositivo consegue interromper arritmias malignas que podem ocasionar morte súbita

Uma criança de 2 anos, diagnosticada com cardiopatia congênita grave, realizou no último sábado, 17, uma cirurgia para o implante de Cardioversor Desfibrilador Implantável (CDI) Epicárdico. A operação aconteceu em Fortaleza, no Hospital Luís França, da Hapvida.

É + que streaming. É arte, cultura e história.

+ filmes, séries e documentários

+ reportagens interativas

+ colunistas exclusivos

O dispositivo implantado evita episódios de morte súbita decorrentes da má-formação do coração, e é a primeira vez que esse tipo de procedimento é realizado no Nordeste.

Segundo o médico Adriano Lima,  coordenador da equipe que realizou a cirurgia, o CDI é uma forma de inibir que as arritmias malignas se transformem em morte súbita, devendo ser acompanhado regularmente por profissionais da arritmia devido à bateria do aparelho.

“A criança foi diagnosticada logo após o nascimento com uma cardiopatia grave e rara e estava sendo acompanhada desde então. O implante foi um sucesso e a criança está bem. O dispositivo vai trazer para ela e para a família mais segurança de futuro”, afirma.

Ele explica que todas as indicações para o uso de dispositivos inovadores dependem das condições de diagnóstico realizadas nos pacientes, e que, quando existe necessidade por indicação diagnóstica, deve-se complementar com tratamento adequado.

“A análise feita por aparelhos específicos mede a capacidade de durabilidade do gerador do dispositivo. O CDI é uma realidade para muitos pacientes, inclusive do SUS. O avanço das tecnologias desses aparelhos faz com que o implante em crianças se torne um grande trunfo”, comenta.

O que são cardiopatias congênitas?

As cardiopatias congênitas referem-se a um conjunto de malformações na estrutura ou na função do coração que surgem durante o desenvolvimento fetal. Conforme o Ministério da Saúde, a condição está entre as que mais matam na infância e ainda permanecem como a terceira causa de óbito no período neonatal — 28 dias após o parto.

A operação aconteceu no Hospital Luís França, da Hapvida
A operação aconteceu no Hospital Luís França, da Hapvida Crédito: Divulgação / Hapvida

Em cada mil bebês, 10 nascem com alguma variação do problema. Por ano, cerca de 30 mil crianças nascem com o diagnóstico no Brasil e aproximadamente 40% necessitam de cirurgia ainda no primeiro ano, representando 12 mil pacientes.

“Ele leva o coração a desenvolver arritmias malignas. O CDI identifica essa arritmia no momento em que ela acontece e desencadeia estímulos elétricos que fazem com que o coração volte ao ritmo normal e evite a morte súbita. É uma tecnologia inteligente que corrige com eficiência o batimento anormal do coração”, finaliza o especialista Adriano Lima.

Além de Adriano Lima, integraram a equipe Ronaldo Távora, arritmologista; Márcia Souto, coordenadora da Cardiopediatria do HLF; Darwin Rivera e Daniel Trompieri, ambos cirurgiões cardíacos; Bruno Araújo, anestesiologista; e Wagner Nascimento, cirurgião do Instituto do Coração de São Paulo.

Dúvidas, Críticas e Sugestões? Fale com a gente

Os cookies nos ajudam a administrar este site. Ao usar nosso site, você concorda com nosso uso de cookies. Política de privacidade

Aceitar