SARS-CoV-2 afeta testículos, reduzindo hormônios e a qualidade dos espermatozoides, apontam estudos

O estudo detectou que pacientes que morreram por Covid-19 apresentaram diminuição drásticas de espermatozoides. Mais da metade dos casos acompanhados apresentaram inflamação no epidídimo

Elton Alisson | Agência FAPESP – Ao acompanhar, desde o início do ano passado, pacientes homens que tiveram COVID-19, o andrologista Jorge Hallak, professor da Faculdade de Medicina da Universidade de São Paulo (FM-USP) e coodernador do Grupo de Estudos em Saúde do Homem do Instituto de Estudos Avançados (IEA-USP), começou a observar que os resultados de exames de fertilidade e hormonais deles permanecem alterados mesmo meses após se recuperarem da doença.

Apesar de ser um teste inicial e não ter condições de diagnosticar fertilidade ou infertilidade, o espermograma de vários pacientes tem indicado, por exemplo, que a motilidade espermática – a capacidade de os espermatozoides se moverem e fertilizarem o óvulo, cujo índice normal é acima de 50% –caiu para entre 8% e 12% e permaneceu nesse patamar quase um ano após terem sido infectados pelo SARS-CoV-2. Já os testes hormonais apontam que os níveis de testosterona de muitos deles também despencaramapós a doença. Enquanto o nível normal desse hormônio é de 300 a 500 nanogramas por decilitro de sangue (ng/dL), em pacientes que tiveram COVID-19 esse índice chegou a variar abaixo de 200 e, muitas vezes, ficou entre 70 e 80 ng/dL

É + que streaming. É arte, cultura e história.

+ filmes, séries e documentários

+ reportagens interativas

+ colunistas exclusivos

“Temos visto, cada vez mais, alterações prolongadas na qualidade do sêmen e dos hormônios de pacientes que tiveram COVID-19, mesmo naqueles que apresentaram quadro leve ou assintomático”, diz Hallak à Agência FAPESP.

Alguns estudos feitos pelo pesquisador em colaboração com colegas do Departamento de Patologia da FM-USP, publicados nos últimos meses, têm ajudado a elucidar essas observações feitas na prática clínica.

Os pesquisadores constataram que o SARS-CoV-2 também infecta os testículos, prejudicando a capacidade das gônadas masculinas de produzir espermatozoides e hormônios.

“É muito preocupante como o novo coronavírus afeta os testículos, mesmo nos casos assintomáticos ou pouco sintomáticos da doença. Entre todos os agentes prejudiciais aos testículos que estudei até hoje, o SARS-CoV-2 parece ser muito atuante”, afirma Hallak. “Cada patologia tem particularidades que a prática e a experiência nos demonstram. O SARS-CoV-2 tem a característica de afetar a espermatogênese. Estamos descobrindo os mecanismos envolvidos, como motilidade progressiva persistentemente muito baixa e morfologia bem alterada, sem mudançada concentração espermática significativa”, diz.

Em um estudo com 26 pacientes que tiveram COVID-19, os pesquisadores verificaram por meio de exames de ultrassom que mais da metade deles apresenta inflamação no epidídimo – estrutura responsável pelo armazenamento dos espermatozoides e onde eles adquirem a capacidade de locomoção.

Os pacientes têm idade média de 33 anos e foramatendidos no Hospital das Clínicas da FM-USP e no Instituto Androscience de Ciência e Inovação em Andrologia. Os resultados doestudo, apoiado pela FAPESP, foram publicados na revista Andrology.

“Ao contrário de uma infecção bacteriana clássica ou por outros vírus, como o da caxumba, que causa inchaço e comumente desconforto ou dor nos testículos em um terço dos acometidos, a epididimite causada pelo novo coronavírus é indolor e não é possível de ser diagnosticada por apalpamento [exame físico] ou a olho nu”, explica Hallak.

Por isso, segundo ele, seria interessante ensinar o autoexame dos testículos como política de saúde pública no pós-pandemia.

“É ideal que os adolescentes, adultos jovens e homens em idade ou com desejo reprodutivo, após serem infectados pelo SARS-CoV-2, procurem um urologista ou andrologista e façam uma consulta com mensuração do volume testicular, dosagem de testosterona e de outros hormônios, além de análises do sêmen com testes de função espermática, seguidos de um exame de ultrassom com Doppler colorido, para verificar se apresentam algum tipo de acometimento testicular que pode afetar a fertilidade e a produção hormonal”, sugere Hallak.

“Esses indivíduos devem ser acompanhados por um a dois anos após a infecção, pelo menos, pois ainda não sabemos como a doença evolui”, aponta.

Invasão de células testiculares

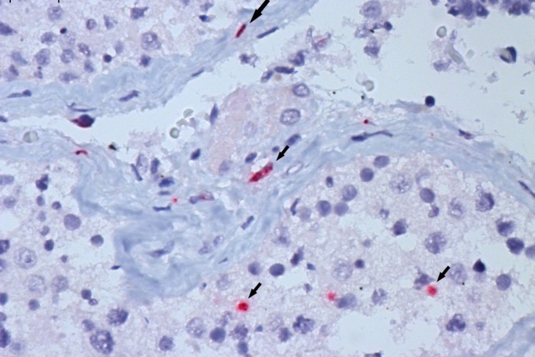
Outro estudo recém-publicado pelo mesmo grupo de pesquisadores e também apoiado pela FAPESPindicou que o SARS-CoV-2 invade todos os tipos de células testiculares, causando lesões que podem prejudicar a função hormonal e a fertilidade masculina.

Por meio de um projeto coordenado pelos professores da FM-USP Paulo Saldiva e Marisa Dolhnikoff, foram empregadas técnicas de autópsia minimamente invasivas para extrair amostras de tecidos testiculares de 11 homens, com idade entre 32 e 88 anos, que morreram no HC-FM-USP em decorrência de COVID-19 grave.

Os resultados das análises indicaram uma série de lesões testiculares que podem ser atribuídas a alterações inflamatórias que diminuem a produção de espermatozoides (espermatogênese) e hormonal.

“O que nos chamou a atenção de imediato nesses pacientes que morreram em decorrência da COVID-19 foi a diminuição drástica da espermatogênese. Mesmo os mais jovens, em idade fértil, praticamente não tinham espermatozoides”, conta Amaro Nunes Duarte Neto, infectologista e patologista da FM-USP e do Instituto Adolfo Lutz e coordenador do estudo.

Segundo o pesquisador, algumas das prováveis causas da diminuição da espermatogênese nesses pacientes foram lesões causadas pelo vírus nos vasos do parênquima testicular, com a presença de trombos, que levaram à hipóxia – ausência de oxigenação nos tecidos –, além de fibroses que obstruem os túbulos seminíferos, onde os espermatozoides são produzidos.

Uma das razões prováveis para a diminuição hormonal é a perda de células de Leydig, que se encontram entre os túbulos seminíferos e produzem testosterona.

“As funções dos testículos de produzir espermatozoides e hormônios sexuais masculinos são independentes, mas há uma interconexão entre elas. Se a produção de hormônios pelas células de Leydig estiver prejudicada, a fertilidade também será diminuída”, afirma Duarte Neto.

Alguns dos sintomas da deficiência de testosterona (hipogonadismo) são perda muscular, cansaço, irritabilidade, perda de memória e ganho de peso, que podem ser confundidos como efeitos de longo prazo da COVID-19.

“Uma parte importante desse quadro clínico seguramente está relacionada a uma baixa função testicular. Mas isso ainda não tem sido abordado porque os pacientes não têm dor e não se costuma dosar os hormônios e nem fazer análise dos espermatozoides após eles se recuperarem da COVID-19”, alerta Hallak.

Os pesquisadores pretendem realizar um estudo de acompanhamento de pacientes homens que tiveram a doença com o objetivo de avaliar em quanto tempo as lesões testiculares causadas pelo SARS-CoV-2 podem ser revertidas naturalmente ou por meio da administração de medicamentos.

“Ainda não sabemos se essas lesões testiculares poderão ser revertidas e quanto tempo levará para isso acontecer”, afirma Hallak.

As principais preocupações do pesquisador são em relação a homens em idade reprodutiva,adolescentes e pré-púberes, sobre os quais ainda não há dados sobre lesões testiculares causadas pela COVID-19. Não se sabe quais serão os impactos na puberdade em relação à capacidade fértil, se a produção de hormônios será afetada de forma transitória, prolongada ou definitiva e qual o grau de lesão residual irreversível.

Como não há dados de pré-infecção pelo SARS-CoV-2 de cada indivíduo, os estudos prospectivos deverão incluir um grupo controle para efeitos de comparação, sugere Hallak.

“Esses indivíduos podem ter problemas de infertilidade e alterações hormonais no futuro e não saberem que isso pode ter sido causado pela infecção pela COVID-19, porque apresentaram sintomas leves ou foram assintomáticos”, pondera.

Aumento da infertilidade masculina

O pesquisador estima que a COVID-19 poderá causar um aumento na infertilidade masculina. Atualmente, entre 15% e 18% dos casais enfrentam dificuldades para conceber – por problemas masculinos em 52% dos casos.

Esse cenário pode desencadear uma busca maior por técnicas de reprodução assistida que, de acordo com ele, é realizada por vezes de forma apressada no Brasil para causas masculinas, sem avaliação inicial adequada e padronizada e, muitas vezes, sem que seja estabelecido o diagnóstico causador inicial e sem tempo hábil para se propor condutas com base em melhor custo-benefício e a aplicação de tratamentos específicos que podem curar a causa ou restabelecer a capacidade fértil natural.

“Será preciso tomar muito cuidado com a reprodução assistida pós-pandemia de COVID-19, pois não se sabe as consequências disso nos meses subsequentes à infecção”, ressalta Hallak.

Uma vez que o SARS-CoV-2 tem sido detectado em todos os tipos de células dos testículos, que participam de todas as etapas da espermatogênese, não se sabe se o vírus também pode estar presente em espermatozoides de pacientes que tiveram COVID-19 e se permanecem quiescentes nos tecidos meses depois de terem se recuperado da doença.

"Esses espermatozoides podem ter sido afetados pelo vírus e, idealmente, deveriapreventivamente se esperar, no mínimo, um ciclo de espermatogênese – ao redor de 90 dias – antes de prosseguir com técnicas de reprodução artificial, em que a seleção dos espermermatozoides é feita por análises por microscopia e não pelo processo de seleção natural testadoao longo de milhões de anos", avalia Hallak.

“Temos visto lesões de DNA causadas pelo novo coronavírus muito elevadas, ao redor de 60% a 80%, enquanto o normal é de até 25% e, o aceitável, até 30%”, compara.

Outra preocupação do pesquisador é com a reposição de testosterona nesses pacientes que tiveram COVID-19 e queda hormonal, que, segundo ele, é uma medida desnecessária no período imediato pós-COVID-19, principalmente para adultos jovens e em idade reprodutiva.

“A reposição de testosterona em um paciente já afetado vai inibir ainda mais a função testicular. Os testículos têm mecanismos de reparação para voltar a produzir hormônios e existem tratamentos medicamentosos que aumentam a produção natural dos hormônios esteroidais, restabelecendo progressivamente a função testicular intrínseca do indivíduo. Isso também vai depender se houve lesão às células de Leydig e em qual grau, que é algo que não sabemos ainda”, pondera.

"Na Faculdade de Medicina da USP, estamos reunindo especialistas de diversas especialidades médicas para estudar um grupo de 749 pacientes homens que tiveram COVID-19 que serão submetidos a uma primeira avaliação ao longo dos próximos quatro anos com o objetivo de obtermos mais conhecimento sobre a síndrome pós-COVID-19", diz Hallak.

O artigo Radiological patterns of incidental epididymitis in mild-to-moderate COVID-19 patients revealed by colour Doppler ultrasound (DOI: 10.1111/and.13973), de autoria de Felipe Carneiro, Thiago A. Teixeira, Felipe S. Bernardes, Marcelo S. Pereira, Giovanna Milani, Amaro N. Duarte-Neto, Esper G. Kallas, Paulo H.N. Saldiva, Maria C. Chammas e Jorge Hallak, pode ser lido em: https://onlinelibrary.wiley.com/doi/10.1111/and.13973.

O artigo Testicular pathology in fatal COVID-19: a descriptive autopsy study (DOI: 10.1111/andr.13073), de Amaro N. Duarte-Neto, Thiago A. Teixeira, Elia G. Caldini, Cristina T. Kanamura, Michele S. Gomes-Gouvêa, Angela B. G. dos Santos, Renata A. A. Monteiro, João R. R. Pinho, Thais Mauad, Luiz F. F. da Silva, Paulo H. N. Saldiva, Marisa Dolhnikoff, Katia R. M. Leite e Jorge Hallak, pode ser lido em: https://onlinelibrary.wiley.com/doi/10.1111/andr.13073.

O artigo SARS-CoV-2 and its relationship with the genitourinary tract: Implications for male reproductive health in the context of COVID-19 pandemic (DOI: 10.1111/andr.12896), de Jorge Hallak, Thiago A.Teixeira, Felipe S. Bernardes, Felipe Carneiro, Sergio A. S. Duarte, Juliana R. Pariz, Sandro C. Esteves, Esper Kallas e Paulo H. N. Saldiva, pode ser lido em: https://onlinelibrary.wiley.com/doi/10.1111/andr.12896.

E o artigo Viral infections and implications for male reproductive health (DOI: 10.4103/aja.aja_82_20), de Thiago A Teixeira, Yasmin C Oliveira, Felipe S Bernardes, Esper G Kallas, Amaro N Duarte-Neto, Sandro C Esteves , Joël R Drevet e Jorge Hallak, pode ser lido em: https://pubmed.ncbi.nlm.nih.gov/33473014/.



Este texto foi originalmente publicado por Agência FAPESP de acordo com a licença Creative Commons CC-BY-NC-ND. Leia o original aqui.

Dúvidas, Críticas e Sugestões? Fale com a gente

Tags

Coronavírus Covid-19 SARS-CoV-2 efeitos colaterais Covid-19 Covid-19 diminui espermatozoides

Os cookies nos ajudam a administrar este site. Ao usar nosso site, você concorda com nosso uso de cookies. Política de privacidade

Aceitar