Leucemia mieloide: entenda a doença que marcou personagem de ‘Vale Tudo’
Na trama da novela “Vale Tudo”, que foi ao ar de março a outubro de 2025, Afonso Roitman – personagem interpretado por Humberto Carrão – recebeu o diagnóstico de leucemia mieloide. O episódio com essa revelação foi ao ar no dia 30 de agosto.
Assim, o folhetim da Globo retratou os desafios médicos, emocionais e familiares de quem enfrenta esse tipo de câncer que afeta o sangue. Além de mostrar os sintomas precoces da doença.
Ao longo dos capítulos, Heleninha Roitman, irmã do personagem – vivida por Paolla Oliveira -, percebeu manchas roxas no braço de Afonso. Depois, ele se queixou de fadiga e exaustão. Por fim, houve sangramentos nasais súbitos que o levaram a procurar atendimento médico.
Após exames revelarem o câncer, Afonso foi informado sobre a necessidade de iniciar quimioterapia. A gravidade da situação o levou a raspar a cabeça preventivamente – nesta cena, é Solange, personagem de Alice Wegmann, que o fez. Ele ainda escreveu um testamento – demonstrando o impacto psicológico profundo da notícia.
Essa não foi a primeira vez que um personagem de novela da Globo teve diagnóstico de leucemia. Em “Laços de Família”, de 2000, ficou muito famosa a cena em que Camila, interpretada por Carolina Dieckmann, teve a cabeça raspada devido ao tratamento quimioterápico para a doença.
Na vida real, a doença tem um caso de repercussão. No dia 7 de setembro, a Igreja Católica canonizou Carlos Acutis, o primeiro santo da geração millennial. O adolescente italiano nascido na Inglaterra morreu aos 15 anos, em 2006, quando passava por tratamento de leucemia.
Chamado de “padroeiro da internet”, Acutis ganhou notoriedade por fazer uso da rede como canal de evangelização e produção de conteúdos sobre o catolicismo.
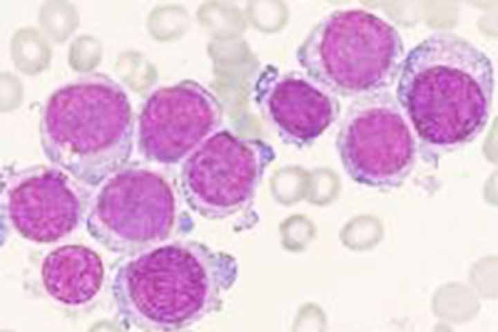
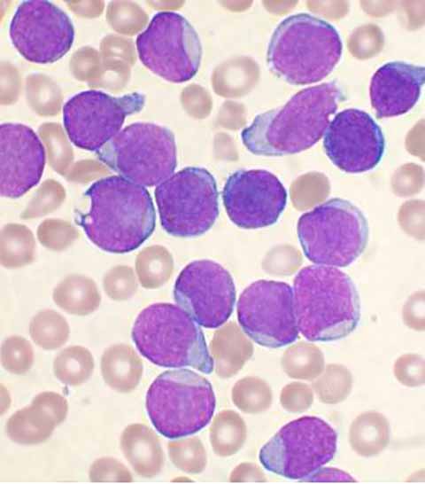
A leucemia mieloide é um tipo de câncer que tem início na medula óssea, tecido gelatinoso onde são produzidas as células do sangue.
Nessa condição maligna, ocorre uma produção descontrolada de células imaturas da linhagem mieloide – precursoras de glóbulos vermelhos, glóbulos brancos e plaquetas – que não completam seu desenvolvimento.
Esse acúmulo prejudica a formação das células sanguíneas saudáveis, comprometendo funções essenciais do organismo.
Os sinais da leucemia mieloide podem variar, mas geralmente estão relacionados à redução das células normais do sangue.
Entre os mais comuns estão cansaço extremo e palidez – devido à anemia -, sangramentos e hematomas, uma consequência da queda de plaquetas.
Outros sintomas da doença são: Infecções recorrentes, pela baixa de glóbulos brancos funcionais; febre persistente, perda de peso e suores noturnos; em alguns casos, aumento do fígado, baço ou linfonodos.
Como os sintomas podem se confundir com os de outras doenças, é comum que o diagnóstico seja feito apenas após a realização de exames específicos.
O processo diagnóstico inclui um hemograma completo, exame que analisa os componentes do sangue. Ele pode revelar alterações importantes, como aumento de leucócitos imaturos ou redução significativa de células sanguíneas.
Exames mais detalhados, como mielograma, biópsia de medula óssea, testes de imunofenotipagem e análises genéticas, ajudam a confirmar o tipo de leucemia e a orientar o tratamento.
A leucemia mieloide pode se apresentar em duas formas principais: leucemia mieloide aguda, a LMA, e leucemia mieloide crônica, a LMC.
A leucemia mieloide aguda evolui de forma rápida e requer início imediato de tratamento. É mais comum em adultos, especialmente a partir dos 60 anos.
Já a leucemia mieloide crônica tem progressão mais lenta e está associada a uma alteração genética chamada cromossomo Filadélfia. É mais comum em adultos de meia-idade.
O tratamento depende do subtipo da doença, idade do paciente e condições de saúde associadas. Há opções por quimioterapia, terapias-alvo, transplante de medula óssea e terapias de suporte, que incluem transfusões de sangue, antibióticos e medicamentos de controle.
Os avanços no diagnóstico precoce e nos tratamentos específicos aumentaram significativamente as taxas de sobrevida, sobretudo na LMC, que pode ser controlada por muitos anos com o uso de medicamentos orais.
Já na LMA, o sucesso depende do início rápido do tratamento e da resposta individual, mas o transplante de medula óssea continua sendo uma alternativa fundamental em muitos casos.