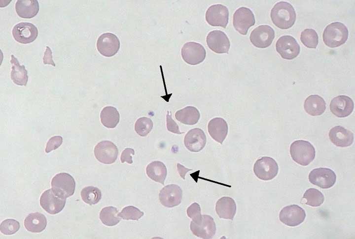
Doença rara intriga médicos pela dificuldade de diagnóstico

 

Dúvidas, Críticas e Sugestões? Fale com a gente

Tags

Galeria

Os cookies nos ajudam a administrar este site. Ao usar nosso site, você concorda com nosso uso de cookies. Política de privacidade

Aceitar